Home  |   Patient Forms  |   Location  |   Meet Dr. Lenz  |   Meet Dr. Paulsen  |   Meet the Team  |   Contact Us

Dentistry Technology

With a thorough and caring approach to your family's dental health, we offer top of the line dental technology. Use of these technologies helps us work more efficiently and helps you to have a comfortable and more enjoyable experience. For your family's comfort, Lenz Family and Cosmetic Dentistry offers the following services:

Intra Oral Camera

An intra oral camera is an indispensable diagnostic and educational tool. Images produced by the intra oral camera allow patients to see each of their teeth, magnified and projected onto a television/computer monitor. These images can indicate problems such as cracked teeth, plaque, decay, periodontal disease, and defective fillings. With the use of an intra oral camera, patient education is simplified by allowing patients to better understand treatment and enable them to visualize what the dentist sees.

Cerec

CEREC is a method used by thousands of dentists worldwide since 1987 not only to replace these fillings, but also to restore any tooth that is decayed, weakened, broken, etc. to its natural strength and beauty. Better yet, it's done with all-ceramic materials that are tooth colored in a single appointment!

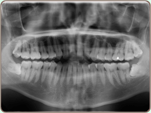
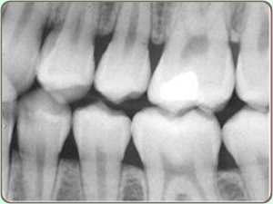
Digital X-Ray

Digital x-rays are computer-generated images. These images require up to 90% less radiation than conventional x-rays. Instead of using the traditional silver-oxide x-ray film that must be developed and fixed using caustic and environmentally damaging chemicals. Digital x-rays take pictures via a storage phosphor screen and through the use of a laser and computer immediately transmit a picture of the tooth to a video monitor in the treatment room.

Cosmetic Imaging

Over Chair TV/DVD monitor mounts

Online Registration and Health History


14221 Metcalf Ave
Suite 100
Overland Park, Kansas 66223

Phone: 913.851.5900
Fax: 913.851.5912

Email: info@lenzdds.com


Click here for a map and directions



Click here to Refer A Friend



To contact us CALL 913.851.5900
or fill out the online form below and we will contact you.

Our Hours

Monday
Tuesday
Wednesday
Thursday
Friday
8:00 a.m. - 5:00 p.m.
8:00 a.m. - 5:00 p.m.
8:00 a.m. - 5:00 p.m.
7:00 a.m. - 4:00 p.m.
7:00 a.m. - 4:00 p.m.
© Copyright 2010- Dr. Matthew T. Lenz DDS and www.lenzdds.com
All Rights Reserved
Web Development, Hosting and Maintenance provided by TakeCareOfMyWebSite.com