Home  |   Patient Forms  |   Location  |   Meet Dr. Lenz  |   Meet Dr. Paulsen  |   Meet the Team  |   Contact Us

Dental Inlays and Onlays

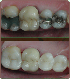
Inlays/Onlays

Inlays and Onlays are a type of conservative, indirect restorations consisting of a solid surface material (such as gold or porcelain) cemented into place to restore the structural integrity of a badly worn, decayed, cracked or broken tooth. Porcelain inlays and onlays restore teeth to an optimal state of health, are extremly durable, and are almost indistinguishable from natural teeth.


14221 Metcalf Ave
Suite 100
Overland Park, Kansas 66223

Phone: 913.851.5900
Fax: 913.851.5912

Email: info@lenzdds.com


Click here for a map and directions



Click here to Refer A Friend



To contact us CALL 913.851.5900
or fill out the online form below and we will contact you.

Our Hours

Monday
Tuesday
Wednesday
Thursday
Friday
8:00 a.m. - 5:00 p.m.
8:00 a.m. - 5:00 p.m.
8:00 a.m. - 5:00 p.m.
7:00 a.m. - 4:00 p.m.
7:00 a.m. - 4:00 p.m.
© Copyright 2010- Dr. Matthew T. Lenz DDS and www.lenzdds.com
All Rights Reserved
Web Development, Hosting and Maintenance provided by TakeCareOfMyWebSite.com