Stained, chipped, cracked or misaligned teeth can dull a smile. Bonding can quickly and painlessly restore your smile's natural beauty. A thin coating of plastic or resin is painted or secured over the damaged teeth. Bonding strengthens teeth and is virtually indistinguishable from natural teeth.
Tooth-Colored Restorations
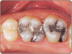
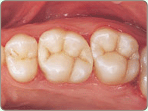
The days of unsightly metal fillings are gone. Modern, tooth-colored fillings made of durable resin or porcelain can be bonded to your teeth and are very easy to apply. These fillings provide a stronger, healthier, and more natural-looking restoration.
14221 Metcalf Ave
Suite 100
Overland Park, Kansas 66223